ご予約・お問い合わせは
0835-21-1192
山口県防府市高倉2丁目5-35
トップページ
Top
お知らせ
INFORMATION
院の紹介
ABOUT CLINIC
診療案内
MEDICAL CARE
医師・スタッフ
DOCTOR&STAFF
よくある質問
FAQ
お問い合わせ
アクセス
コラム
COLUMN
ブログ
BLOG
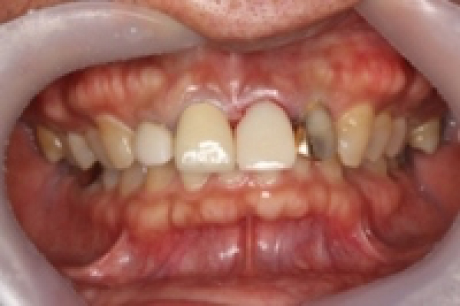
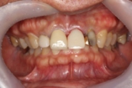
2018/07/11更新
Colume